Skip to content

Better efficiency and reproducibility of hPSC production

captivate bio
Captivate Bio Admin

Articles

An interview with EverCell Bio

In this interview, we talk to EverCell Bio’s Philip Manos about the challenges with hPSC cultures and how ROCK Inhibitors including Captivate Bio’s CET Cocktail compares to traditional supplemental methods.

Phil Manos, EverCell Bio

Philip Manos is founder and CEO of EverCell Bio. He has been utilizing pluripotent stem cell techniques since the inception of the first human reprogramming discovery. He helped develop and publish early criteria for classification of bona-fide hiPSCs, as well as the first mRNA reprogramming methodologies for the generation of the first clinically relevant human iPSCs.

Philip is widely published and has established numerous stem cell technology platforms across the research industry. Connect with Philip Manos on LinkedIn.

CB: Can you tell us a little about EverCell Bio?

Manos: EverCell Bio facilitates human pluripotent stem cell (hPSC) production for use in drug discovery and therapeutics by providing a comprehensive suite of customized cell modeling services. Given the inherent variability and current state of this technology, we believe that focusing on building adaptable workflows to increase efficiency using hPSCs is a critical for the field’s advancement.

Our goal is to standardize and streamline the production of hPSC-derived cell types in order to create robust and scalable solutions. Right now, we’re focused primarily on technology and workflow enhancements to ensure that we are focused on the critical points that will create more efficient and effective services.

What are some of the challenges you see when culturing hPSCs?

hPSCs are inherently difficult to culture as single cells, as their viability rapidly declines after single cell dissociation. While typical clump passaging is still preferred for general expansion and banking, there are essential points in various workflows, such as differentiation or gene modification, that require derivation of clonal populations from single cells.

Where do you see the need for improvements in stem cell culture methods?

Reproducibility and efficiency across hPSC lines derived from varied genetic backgrounds would be a big improvement. Improving speed and cost are very important as well – but not at the expense of quality. We’ve had situations where a Client’s cells are prone to differentiation when single cell cloning and the ability to obtain more healthy, less differentiated clones when subcloning would not only be more efficient, but also translate to saving us time and money in the lab.

Where do you see potential for enhancing cell viability and reproducibility?

Typically, we have used the ROCK inhibitor Y27632 to improve viability and attachment in experiments that require single cell dissociation, or in instances where we are putting the hPSCs in other stressful culture situations. In addition to Y27632, we started looking at other ROCK inhibitors and small molecule cocktails that may be more effective have become of interest for us. The Captivate Bio CET Cocktail is something we are starting to validate to see if we can yield more effective single cell growth outcomes for our cultures.

If we are able to increase the robustness of workflows by supplementing in a way that accommodates multiple hiPSC lines of various backgrounds and culture conditions, this would have a tremendous impact in our workflow and in the stem cell field.

What was the significance of your validation work using the CET Cocktail?

This initial study was an important step to validate enhancement of single cell attachment, survival, and growth in hPSC cultures after single cell dissociation. After seeing noticeable improvement in a recent comparison study, we are keen to understand the implications of supplementing cultures with CET Cocktail within the lab’s other existing workflows where increased efficacy of single cell conditions can have a major impact on culture outcomes.

How did you perform your validation study?

We wanted to assess the CET Cocktail in the context of single cell dissociation and plating to see comparative hPSC growth and attachment results. We performed an experiment in which a typically clump passaged hPSC culture was immediately dissociated and plated as single cells using CET in order to understand if the kit can outperform existing small molecules and reagents used to improve hPSC single cell culture.

We used hPSC lines generated in-house that were cultured in mTeSR-Plus medium on Matrigel® substrate, and routinely maintained using standard “clump” passaging. The culture was single-cell dissociated using Accutase® and then plated in media containing either Y27632, CLoneR® or CET Cocktail for comparison. Cells from all conditions were plated at the same density in triplicate and allowed to grow for 3 days. Media was changed and cultures were imaged daily, with the final cell counts taken on Day 3 post-plating.

What were your findings?

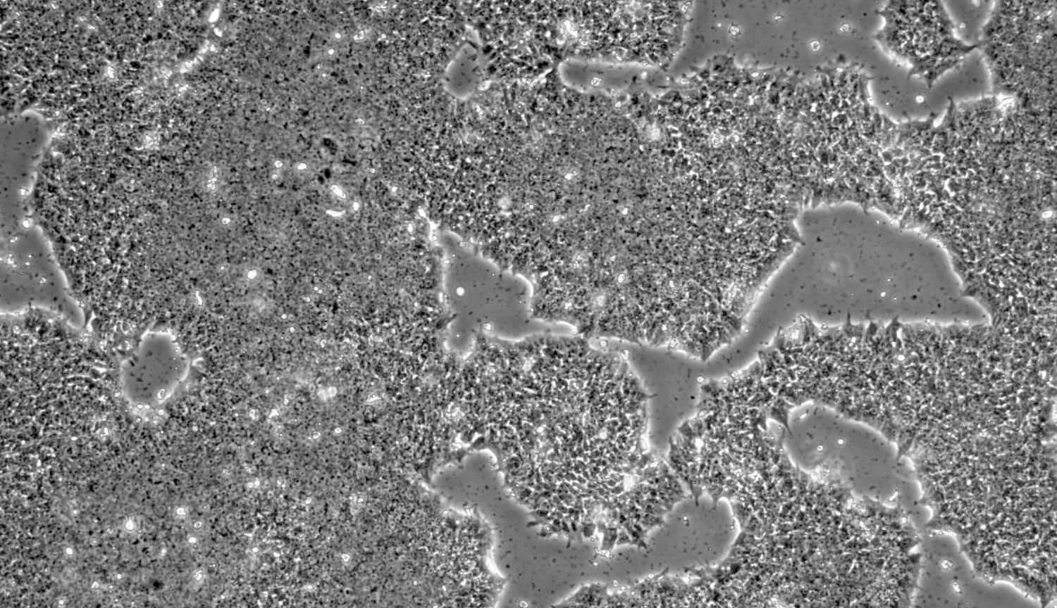
Before the first media change on day 1 post-plating, we observed a significant reduction of apoptotic cells in the cell cultures exposed to the CET Cocktail. We also found that the CET condition led to an increased recovery after 3 days compared to the other conditions tested.

After 3 days in culture, we confirmed total cell numbers and found that the cultures supplemented with CET Cocktail contained more viable cells than all other conditions tested (Figure 2). We will continue to validate these conditions as we look at the comparative data during repeat studies.

What’s next for your validation work?

We are very encouraged by the preliminary data and are keen to assess the CET Cocktail in our custom workflows, particularly in applications for clonal screening, and gene modification, to see how it may increase efficiency. Improving overall cell survival will bring several benefits to our service offering.

The Captivate Bio CET Cocktail outperformed Y27632 and CloneR on initial assessment of improvement of survival and attachment of dissociated hPSC cultures. Cell culture images taken daily show a striking reduction in the amount of cell debris and stress-induced apoptosis in the cultures supplemented with the CET Cocktail compared to Y27632 or CloneR.

Ongoing support and development for the CET Cocktail kit

Captivate Bio is committed to supporting our customers with new technology to speed discovery. We are actively recruiting labs in validating CET through our Collaboration Program, contact us today to learn more.

Download CEPT Research Spotlight
Learn More

captivate bio
Captivate Bio Admin Captivate Bio is a global supplier of cell culture products and contract manufacturing services for the life science community. With a focus on cell and gene therapy and emerging industries, we provide a unique offering of cell culture media and reagents, marketing and sales consulting, and distribution services. We're located just outside Boston, MA.
Captivate Bio's Capability Brochure

BROCHURE

Download Captivate Bio’s Capabilities Brochure

Learn more about how we support researchers with cell culture products, contract manufacturing and storage services, custom reagent sourcing, as well as marketing, sales, and distribution programs for our industry partners.

Related Posts